Αναθεώρηση αρθροπλαστικών
Οι αρθροπλαστικές του ισχίου και του γόνατος προσφέρουν όπως είναι γνωστό εξαιρετικά μακροχρόνια αποτελέσματα.
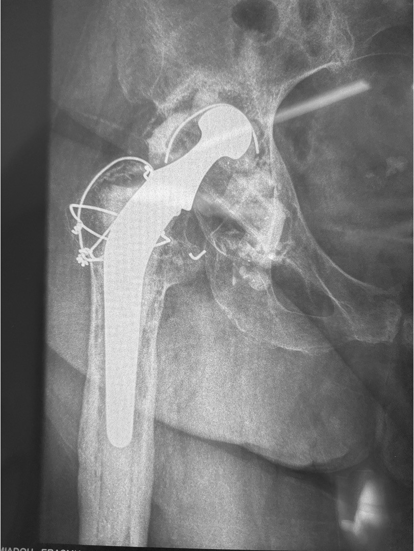
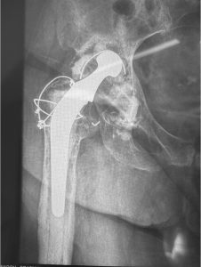
Παρ όλα αυτά όμως με την πάροδο του χρόνου μία αρθροπλαστική μπορεί να καταστεί επώδυνη και να εμπλακεί με διάφορες επιπλοκές και να είναι απαραίτητο οι αρχικές προθέσεις να αφαιρεθούν και να αντικατασταθούν με καινούργιες προθέσεις.
Πρόκειται για επεμβάσεις αναθεώρησης/revision των αρθροπλαστικών με τις οποίες γίνεται αφαίρεση μέρους ή όλων των αρχικών προθέσεων και αντικατάσταση με καινούργιες προθέσεις.
Οι συχνότερες αιτίες αποτυχίας μιας αρθροπλαστικής είναι η η χαλάρωση των μοσχευμάτων, η αστάθεια και το εξάρθρημα της αρθροπλαστικής, τα περιπροθετικά κατάγματα και η πιο δύσκολη επιπλοκή της μολυσμένης αθροπλαστικής.
Η διάγνωση αυτών των επιπλοκών γίνεται με συγκεκριμένα απεικονιστικά και εργαστηριακά πρωτόκολλα στα οποία εμπλέκονται εξειδικευμένα εργαστήρια.
Η αναθεώρηση των αρθροπλαστικών είναι μια ιδιαίτερα απαιτητική επέμβαση και απαιτεί μεγάλη εμπειρία της Ορθοπαιδικής ομάδας σε αυτές τις επεμβάσεις.
Κάθε περίπτωση έχει ιδιαιτερότητες που σχετίζονται με το είδος της αρθροπλαστικής που πρέπει να αναθεωρηθεί, με τον τρόπο που θα αφαιρεθούν οι παλιές προθέσεις, με την τεχνική κάλυψης των οστικών ελλειμάτων που συνήθως υπάρχουν στην περιοχή, με τον τρόπο που πρέπει να στερεωθούν τα καινούργια υλικά, με τον χειρισμό των μαλακών μορίων κ.α.
Στις περισσότερες περιπτώσεις η επέμβαση αναθεώρησης των αρθροπλαστικών δεν έχει καμία σχέση με τις τεχνικές και τα υλικά που χρησιμοποιούνται στις αρχικές αρθροπλαστικές.
Ο στόχος πρέπει να είναι η αναθεωρημένη επέμβαση μιας αρθροπλαστικής να έχει ίδια ή παρόμοια αποτελέσματα από την αρχική αρθροπλαστική και ο ασθενής να επανέλθει σε πλήρη δραστηριότητα.
Η απαραίτητη εμπειρία της χειρουργικής ομάδας που χειρίζεται αυτές τις δύσκολες περιπτώσεις πρέπει να συνδυάζεται με την χρήση σύγχρονων υλικών.
ΠΟΙΑ ΕΙΝΑΙ Η ΣΥΧΝΟΤΕΡΗ ΑΙΤΙΑ ΠΟΥ ΜΙΑ ΑΡΘΡΟΠΛΑΣΤΙΚΗ ΘΑ ΧΡΕΙΑΣΤΕΙ ΑΝΑΘΕΩΡΗΣΗ
Η χαλάρωση των υλικών είναι η κυριότερη αιτία αναθεώρησης μιας αρθροπλαστικής.
Δεν συμβαίνει πάντα και συνήθως παρατηρείται πολλά χρόνια μετά το χειρουργείο.
ΠΟΤΕ ΠΡΕΠΕΙ ΝΑ ΑΝΑΘΕΩΡΗΘΕΙ ΜΙΑ ΑΡΘΡΟΠΛΑΣΤΙΚΗ ΙΣΧΙΟΥ.
Οι αρθροπλαστικές πρέπει να παρακολουθούνται συχνά σύμφωνα με τις οδηγίες που θα πάρει από τον χειρουργό.
Ο λόγος της συχνής παρακολούθησης είναι να διαγνωστούν έγκαιρα τα ακτινολογικά και κλινικά σημεία κάποιας επιπλοκής.
Ο χειρουργός θα εκτιμήσει τα ευρήματα από τις ακτινογραφίες και τον λοιπό απεικονιστικό έλεγχο, θα εξετάσει τον ασθενή και θα συζητήσει μαζί του την αναγκαιότητα να αναθεωρήσει υην πρόθεση.
Το σημαντικότερο κλινικό σημείο είναι η αρθροπλαστική ενώ ήταν ανώδυνη να καταστεί επώδυνη.
Η ΑΝΑΘΕΩΡΗΣΗ ΜΙΑΣ ΑΡΘΡΟΠΛΑΣΤΙΚΗΣ ΕΙΝΑΙ ΔΥΣΚΟΛΟΤΕΡΗ ΕΠΕΜΒΑΣΗ ΑΠΟ ΤΗΝ ΑΡΧΙΚΗ ΑΡΘΡΟΠΛΑΣΤΙΚΗ?
Ναι. Τις περισσότερες φορές είναι μία απαιτητική επέμβαση και είναι απαραίτητο ο χειρουργός να έχει ιδιαίτερη εμπειρία για αυτές τις επεμβάσεις.
ΠΟΙΑ ΕΙΝΑΙ Η ΜΕΤΕΓΧΕΙΡΗΤΙΚΗ ΑΠΟΚΑΤΑΣΤΑΣΗ?
Εξαρτάται από πολλούς παράγοντες, και συνήθως είναι πιο αργή από ότι η αρχική επέμβαση.
Η χρήση όμως των σύγχρονων τεχνικών και προηγμένων υλικών επιτρέπουν συνήθως μετεγχειρητικά την γρήγορη και ασφαλή κινητοποίηση.
Η επάνοδος βέβαια σε πλήρη δραστηριότητα εκτός από την επιτυχή επέμβαση εξαρτάται και από την φυσική κατάσταση του ασθενούς.
ΠΟΙΕΣ ΕΙΝΑΙ ΟΙ ΠΙΘΑΝΟΤΕΡΕΣ ΕΠΙΠΛΟΚΕΣ?
Λοίμωξη: Ενώ στη αρχική αρθροπλαστική το ποσοστό λοιμώξεως είναι 1% στις επεμβάσεις αναθεώρησης είναι 3-5%. Το ποσοστό αυτό είναι ακόμα μεγαλύτερο αν η αναθεώρηση γίνεται για να αντικατασταθεί μία μολυσμένη πρόθεση.
Εξάρθρημα: Η αναθεώρηση είναι μεγαλύτερη επέμβαση. Συχνά απαιτείται εκτεταμένη προσπέλαση και η προσβολή των μαλακών μορίων και του οστού είναι εκτεταμένη. Έτσι το ενώ το ποσοστό των εξαρθρημάτων στην αρχική αρθροπλαστική είναι 2% στις αναθεωρήσεις είναι υψηλότερο και φτάνει το 10%.
Έκτοπη οστεοποίηση: Είναι ο σχηματισμός έκτοπου οστού γύρω από την πρόθεση. Όχι πολύ συχνά επηρεάζει την κινητικότητα του ισχίου. Σπάνια χρειάζεται να αφαιρεθεί για να βελτιωθεί η κίνηση.
Νευρική βλάβη: Το ισχιακό νεύρο το οποίο ευκολά προφυλάσσεται στις αρχικές επεμβάσεις, στις αναθεωρήσεις συχνά εμπλέκεται με ινώδη ιστό και είναι επιρρεπής σε τραυματισμό κατά τις αναθεωρήσεις. Εάν αυτό συμβεί παρατηρείται προσωρινή ή μόνιμη πτώση του άκρου ποδιού η οποία αντιμετωπίζεται με την χρήση φυσικών ή ορθοτικών μέσων.


