Μυοσκελετική ογκολογία
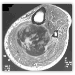
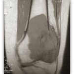
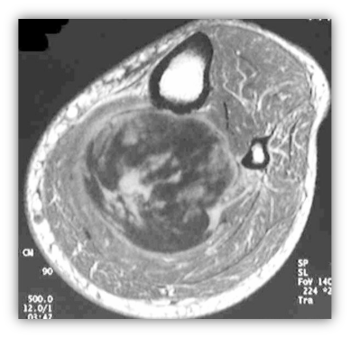
Η Μυοσκελετική Ογκολογία ασχολείται με την διάγνωση και την αντιμετώπιση των καλοήθων και κακοήθων όγκων των οστών και των μαλακών μορίων όταν εντοπίζονται στα άκρα.
Πρέπει να αντιμετωπίζονται με ιδιαίτερη προσοχή από την στιγμή που εντοπίζονται και διαγνώσκονται μέχρι την θεραπεία τους.
Ενδεχόμενα λάθη διαγνωστικά ή θεραπευτικά επηρεάζουν αρνητικά την τελική έκβαση.
Η απεικόνιση των βλαβών πρέπει να κατευθύνεται από τον Ορθοπαιδικό Χειρουργό και ακολουθεί μία συγκεκριμένη μεθοδολογία.
Η λήψη βιοψίας πρέπει να γίνεται στο κέντρο και από τον χειρουργό που θα κάνει την τελική χειρουργική θεραπεία – εφόσον αυτή είναι απαραίτητη- είναι μία απαιτητική διαδικασία με συγκεκριμένες αρχές και είναι σοβαρό λάθος να αντιμετωπίζεται σαν κάτι απλό και εύκολο.
Η αντιμετώπιση ιδιαίτερα των κακοήθων βλαβών των οστών και των μαλακών μορίων είναι πολυπαραγοντική και η απόφαση για την θεραπεία της πρέπει να λαμβάνεται από Ογκολογικό Συμβούλιο στο οποίο συμμετέχουν όλες οι εμπλεκόμενες με την διάγνωση και την θεραπεία Ιατρικές ειδικότητες.
Οι ασθενείς όταν εντοπίσουν κάποια διόγκωση η μόρφωμα σε οποιοδήποτε σημείο των άκρων πρέπει αμέσως να απευθυνθούν στο Ορθοπαιδικό έχοντας υπόψιν τους ότι κάθε μόρφωμα δεν είναι αθώο λίπωμα και πρέπει να διερευνηθεί μεθοδικά.
Με την σωστή αντιμετώπιση των κακοήθων όγκων του μυοσκελετικού, τα ποσοστά επιτυχούς θεραπείας τους σήμερα είναι πολύ υψηλά και οι καταδικαστικοί για την ζωή παλαιότερα όγκοι εμφανίζουν σήμερα ποσοστά επιβίωσης πάνω από 80%.


