Oλική αρθροπλαστική ισχίου
ΤΙ ΕΙΝΑΙ ΑΡΘΡΟΠΛΑΣΤΙΚΗ ΤΟΥ ΙΣΧΙΟΥ
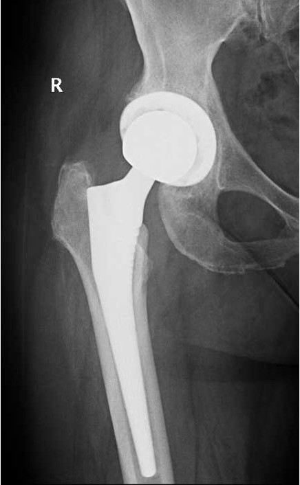
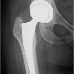
Είναι η επέμβαση με την οποία ένα προσβεβλημένο-εκφυλισμένο ισχίο αντικαθίσταται από μία πρόθεση.
Εφαρμόζεται για να αντιμετωπίσει τον πόνο στο ισχίο και την δυσκαμψία που οφείλεται στη αρθρίτιδα που έχει προσβάλει την άρθρωση.
Η ίδια επέμβαση γίνεται για να αντιμετωπίσει τραυματικές (κάταγμα ισχίου) καταστάσεις και διάφορες άλλες παθήσεις (άσηπτη νέκρωση μηριαίας κεφαλής) που επηρεάζουν την λειτουργικότητα του ισχίου
Η ολική αρθροπλαστική του ισχίου αποτελεί μια εξαιρετικά επιτυχημένη επέμβαση για την αντιμετώπιση της μη αναστρέψιμης φθοράς της άρθρωσης του ισχίου.
Το ποσοστό επιτυχίας της επέμβασης είναι υψηλό με το 95% των ασθενών να ανακουφίζονται πλήρως από τον πόνο και την επιβίωση των εμφυτευμάτων να κυμαίνεται στο 90-95% στα 10 έτη και στο 80-85%- στα 20 έτη μετεγχειρητικά.
ΠΟΙΑ ΕΙΝΑΙ Η ΣΥΧΝΟΤΕΡΗ ΠΑΘΗΣΗ ΠΟΥ ΠΡΟΣΒΑΛΕΙ ΤΗΝ ΑΡΘΡΩΣΗ ΤΟΥ ΙΣΧΙΟΥ?
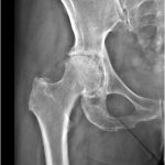
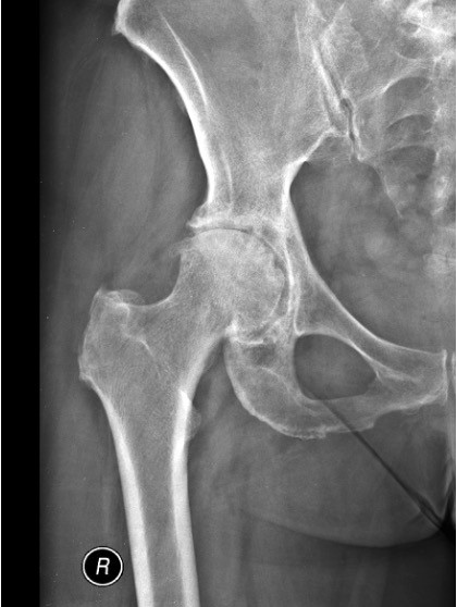
Η οστεοαρθρίτιδα είναι ο πιο συχνός τύπος αρθρίτιδας ο οποίος εκτός από το ισχίο μπορεί να προσβάλει σχεδόν όλες τις αρθρώσεις.
Συμβαίνει όταν για διάφορους λόγους ο χόνδρος που βρίσκεται στην επιφάνεια των αρθρώσεων εκφυλίζεται και στα τελικά στάδια καταστρέφεται.
Τα συχνότερα συμπτώματα αυτής της εκφύλισης είναι ο πόνος και η δυσκαμψία της άρθρωσης.
Στα τελικά στάδια η οστεοαθρίτιδα γίνεται πολύ επώδυνη, δεν αντιμετωπίζεται συντηρητικά με παυσίπονα και αντιφλεγμονώδη φάρμακα και επηρεάζει αρνητικά την ποιότητα ζωής του πάσχοντος.
Τότε η μόνη λύση είναι να γίνει αντικατάσταση της προσβεβλημένης άρθρωσης με ειδικές προθέσεις / αρθροπλαστικές.
Η διάγνωση της οστεοαρθρίτιδας γίνεται αξιολογώντας τα συμπτώματα και συνήθως με μία απλή ακτινογραφία της άρθρωσης.
ΠΟΤΕ ΠΡΕΠΕΙ ΝΑ ΓΙΝΕΙ Η ΑΡΘΡΟΠΛΑΣΤΙΚΗ ?
Όταν ο πόνος είναι συνεχής και δύσκολα ελεγχόμενος από τα αντιφλεγμονώδη ή τα παυσίπονα φάρμακα και τις άλλες συντηρητικές (φυσικοθεραπεία) παρεμβάσεις.
Όταν εγκαθίσταται δυσκαμψία στο ισχίο που δυσκολεύει καθημερινές δραστηριότητες όπως το περπάτημα.
Όταν ο πόνος εμφανίζεται κατά την ανάπαυση και ιδιαίτερα την νύχτα.
Όταν έχει επηρεαστεί αρνητικά η ποιότητα ζωής του πάσχοντος και αυτό οφείλεται στην διαγνωσμένη με ακτινογραφία οστεοαρθρίτιδα στο ισχίο.
ΠΩΣ ΓΙΝΕΤΑΙ Η ΕΠΕΜΒΑΣΗ?
Υπάρχουν δύο κυρίως προσπελάσεις για να γίνει η αρθροπλαστική.
- Η οπίσθια προσπέλαση (πιο συχνή)
- Η πρόσθια προσπέλαση (αρκετές παραλλαγές)
Και οι δύο προσπελάσεις προσφέρουν άμεση ανακούφιση από τον πόνο και δυνατότητα άμεσης κινητοποίησης
Στη δική μας πρακτική χρησιμοποιούμε την οπίσθια προσπέλαση ελάχιστης παρεμβατικότητας (MIS posterior approach) μέσω μίας μικρής τομής 5-7 εκατοστών.
Χρησιμοποιώντας σύγχρονα υλικά αντικαθίστανται η κοτύλη και η μηριαία κεφαλή.
Η διάρκεια της επέμβασης σπάνια υπερβαίνει την μία ώρα.
ΕΙΝΑΙ ΣΗΜΑΝΤΙΚΗ Η ΠΡΟΕΓΧΕΙΡΗΤΙΚΗ ΠΡΟΕΤΟΙΜΑΣΙΑ?
Η προετοιμασία για την επέμβαση είναι τόσο σημαντική όσο και η μετεγχειρητική αποκατάσταση.
Ο ασθενής υποβάλλεται σε λεπτομερή προεγχειρητική προετοιμασία με πλήρη εργαστηριακό και απεικονιστικό έλεγχο. Οι γνωματεύσεις από διάφορες ειδικότητες είναι απαραίτητες για να είναι ασφαλέστερη η διεγχειρητική και μετεγχειρητική διαδικασία.
Πρέπει να ενημερώνεται ο χειρουργός και ο αναισθησιολόγος για τη φαρμακευτική αγωγή που λαμβάνει ο ασθενής. ΠΡΟΣΟΧΗ στην λήψη αντιπηκτικών φαρμάκων. Μερικά από αυτά πρέπει να διακοπούν προεγχειρητικά.
Ενημερώνεται πάντα για τις λεπτομέρειες της επέμβασης, τα υλικά που θα χρησιμοποιήσουμε και τα αναμενόμενα αποτελέσματα.
Στην πρακτική μας γίνεται εξατομικευμένη προσέγγιση κάθε ασθενούς μέσω προεγχειρητικού σχεδιασμού ώστε να επιλεγεί η καταλληλότερη πρόθεση εξασφαλίζοντας την σταθερότητα της άρθρωσης και την διόρθωση της ανισοσκελίας.
ΜΕΤΑ ΤΗΝ ΕΠΕΜΒΑΣΗ?
Ο ασθενής παρακολουθείται για λίγη ώρα στην ανάνηψη του χειρουργείου από τον αναισθησιολόγο.
Γρήγορα μεταφέρεται στον θάλαμο νοσηλείας υπό συστηματική αναλγητική αγωγή ενώ παρακολουθούνται στενά τα ζωτικά του σημεία.
Την ίδια ή την επομένη μέρα ο φυσικοθεραπευτής θα σας βοηθήσει:
- Να καθίσετε στο κρεββάτι με τα πόδια σας στο πάτωμα
- Να σηκωθείτε και να ξανακαθήσετε στο κρεββάτι
- Να περπατήσετε με κάποιο βοήθημα, συνήθως με μία βακτηρία αγκώνα
- Να ανεβοκατέβετε σκαλοπάτια
Η έξοδός του από την κλινική γίνεται την δεύτερη μετεγχειρητική μέρα έχοντας πλήρη ανεξαρτησία στην βάδιση.
Θα πάρει κατά την έξοδο του πλήρης και λεπτομερείς οδηγίες για την κινητοποίηση του κατά την μετεγχειρητική περίοδο.
ΕΙΝΑΙ ΑΠΑΡΑΙΤΗΤΗ Η ΑΝΤΙΘΡΟΜΒΩΤΙΚΗ ΑΓΩΓΗ ΜΕΤΕΓΧΕΙΡΗΤΙΚΑ?
Άμεσα χορηγείται επίσης αντιθρομβωτική αγωγή, συνήθως ενέσιμη, η οποία συνεχίζεται για 4-6 εβδομάδες μετεγχειρητικά για την πρόληψη της εν τω βάθει φλεβικής θρόμβωσης.
Σημαντικά προσφέρει στην αποφυγή θρομβώσεων η γρήγορή κινητοποίηση/βάδιση μετά την αρθροπλαστική.
Η εφαρμογή αντιθρομβωτικών καλτσών για μερικές εβδομάδες είναι επίσης απαραίτητη.
ΠΟΤΕ ΑΝΑΜΕΝΕΤΑΙ Η ΠΛΗΡΗΣ ΑΠΟΚΑΤΑΣΤΑΣΗ ΜΕΤΑ ΤΟ ΧΕΙΡΟΥΡΓΕΙΟ?
Η πλήρης αποκατάσταση μετα την αρθροπλαστική διάφερει απο άτομο σε άτομο αλλά οι περισσότεροι αποκαθίστανται 3 μήνες μετά την επέμβαση. Η βελτίωση βέβαια με τον ασθενή να έχει πλήρεις δραστηριότητες συνεχίζεται και τους επόμενους μήνες.
Η νέα άρθρωση είναι ανώδυνη πλέον και αυξάνεται το εύρος της κίνησης της.
Σε ότι αφορά σε δραστηριότητες πλέον τις καθημερινές, επιτρέπονται δραστηριότητες και άθληση με μέτρια επιβάρυνση της άρθρωσης ( κολύμβηση, ποδηλασία, τζόκινγκ).
Υψηλότερης επιβάρυνσης αθλήματα ( μπάσκετμπωλ, ποδόσφαιρο) καλό είναι να αποφεύγονται ή να περιορίζονται σε μη ανταγωνιστικό επίπεδο.
ΠΟΣΟ ΣΥΧΝΑ ΠΡΕΠΕΙ ΝΑ ΠΑΡΑΚΟΛΟΥΘΟΥΝΤΑΙ ΟΙ ΑΡΘΟΠΛΑΣΤΙΚΕΣ ?
Η μετεγχειρητική παρακολούθηση των αρθροπλαστικών του ισχίου είναι απαραίτητο να γίνεται συχνά το πρώτο μετεγχειρητικό χρόνο και οπωσδήποτε αργότερα μία φορά το εξάμηνο ή μία φορά τον χρόνο.
Θα λάβετε κατά την έξοδό σας από την κλινική οδηγίες για την μετεγχειρητική παρακολούθηση.

